Lompat ke konten Lompat ke sidebar Lompat ke footer

Hip Disease In Adults

Conditions Treated Paley Orthopedic Spine Institute

Conditions Treated Paley Orthopedic Spine Institute

Hip disease in adults. Hip replacement in adults who had Perthes disease as a child is technically challenging and difficult but entirely possible and with good results. Developmental Dysplasia of the Hip. Thats the report from Italian orthopedic surgeons on 32 hip replacements.

Orthopaedic surgeons specialising in adult hip reconstruction surgery often face the problem of osteoarthritis secondary to congenital hip disease CHD. The first type is dysplasia in which the femoral head is contained within the original true acetabulum. We describe three distinct types of congenital hip disease in adults.

Legg-Calvé-Perthes disease Perthes is a rare disease that most often affects boys between the ages of 2 and 12. Types of congenital hip disease in adults. Compre online Congenital Hip Disease in Adults de Hartofilakidis George Babis George C Lampropoulou-Adamidou Kalliopi na Amazon.

Legg-Calvé-Perthes disease Perthes is a rare disease that most often affects boys between the ages of 2 and 12. Hip deformity in symptomatic adult Perthes disease Only a limited number of patients that suffered from Legg-Calvé-Perthes disease LCPD develop pain in early adulthood. Perthes Disease in Adults What is it.

Classical hinged abduction is well known and is thought to be responsible for secondary lateral. There are several long-term studies in the literature indicating that patients who have Perthes disease diagnosed in childhood do eventually develop osteoarthritis of the hip perhaps 10-15 years before retirement age. CHD representing about 40 of all OA cases of the hip.

Total hip replacement THR performed using optimal techniques can achieve a radical improvement in the quality of life of adult patients. Terminology classification pre-operative planning and management. Hip replacement in adults who had Perthes disease as a child is technically challenging and difficult but entirely possible and with good results.

Idiopathic when the underlying cause cannot be determined and secondary when a. Diseases of the Hip Osteoarthritis.

What Causes Adult Hip Dysplasia And How Is It Treated

What Causes Adult Hip Dysplasia And How Is It Treated

Adult Dysplasia Of The Hip Recon Orthobullets

Adult Dysplasia Of The Hip Recon Orthobullets

Hip Dysplasia In Adolescents And Young Adults

Hip Dysplasia In Adolescents And Young Adults

Diagnosis International Hip Dysplasia Institute

Diagnosis International Hip Dysplasia Institute

Adult Dysplasia Of The Hip Recon Orthobullets

Adult Dysplasia Of The Hip Recon Orthobullets

Https Www Childrenshospital Org Media Centers And Services Programs A E Child And Adult Hip Preservation Program Hipfactsheet Adolescent Ashx

Https Www Childrenshospital Org Media Centers And Services Programs A E Child And Adult Hip Preservation Program Hipfactsheet Adolescent Ashx

Young Adult Hip Problems Gloucestershire Hip Clinic

Young Adult Hip Problems Gloucestershire Hip Clinic

Congenital Hip Disease In Adults Springer Import Outros Livros Magazine Luiza

Congenital Hip Disease In Adults Springer Import Outros Livros Magazine Luiza

Diagnosis International Hip Dysplasia Institute

Diagnosis International Hip Dysplasia Institute

Congenital Hip Disease In Adults Classification Of Acetabular Deficiencies And Operative Treatment With Acetabuloplasty Combined With Total Hip Arthroplasty Semantic Scholar

Congenital Hip Disease In Adults Classification Of Acetabular Deficiencies And Operative Treatment With Acetabuloplasty Combined With Total Hip Arthroplasty Semantic Scholar

What Causes Adult Hip Dysplasia And How Is It Treated

What Causes Adult Hip Dysplasia And How Is It Treated

Http Pdf Posterng Netkey At Download Index Php Module Get Pdf By Id Poster Id 132051

Http Pdf Posterng Netkey At Download Index Php Module Get Pdf By Id Poster Id 132051

Diagnosis International Hip Dysplasia Institute

Diagnosis International Hip Dysplasia Institute

Pdf Hip Disease In Adults With Down Syndrome Semantic Scholar

Pdf Hip Disease In Adults With Down Syndrome Semantic Scholar

Hip Dysplasia Information Symptoms Diagnosis Treatment

Hip Dysplasia Information Symptoms Diagnosis Treatment

Perthes Disease Symptoms Causes Diagnosis And Treatment

Perthes Disease Symptoms Causes Diagnosis And Treatment

Perthes Disease Legg Calve Perthes Orthoinfo Aaos

Perthes Disease Legg Calve Perthes Orthoinfo Aaos

Adults International Hip Dysplasia Institute

Adults International Hip Dysplasia Institute

Https Www Ajronline Org Doi Pdf 10 2214 Ajr 12 9360

Https Www Ajronline Org Doi Pdf 10 2214 Ajr 12 9360

Hip Dysplasia In Children Adult

Hip Dysplasia In Children Adult

Assessment Of The Young Adult Hip Joint Using Plain Radiographs Springerlink

Assessment Of The Young Adult Hip Joint Using Plain Radiographs Springerlink

Walk Away From Hip Pain Pyramid Clinic

Walk Away From Hip Pain Pyramid Clinic

Racgp Hip Pain In Young Adults

Racgp Hip Pain In Young Adults

1

1

Https Www Ajronline Org Doi Pdf 10 2214 Ajr 12 9360

Https Www Ajronline Org Doi Pdf 10 2214 Ajr 12 9360

Why Does My Hip Hurt 8 Causes Of Hip Pain Problems Treatment Options

Why Does My Hip Hurt 8 Causes Of Hip Pain Problems Treatment Options

Assessment Of The Young Adult Hip Joint Using Plain Radiographs Springerlink

Assessment Of The Young Adult Hip Joint Using Plain Radiographs Springerlink

Http Pdf Posterng Netkey At Download Index Php Module Get Pdf By Id Poster Id 132051

Http Pdf Posterng Netkey At Download Index Php Module Get Pdf By Id Poster Id 132051

Adult Dysplasia Of The Hip Recon Orthobullets

Adult Dysplasia Of The Hip Recon Orthobullets

Adolescent Hip Dysplasia Orthoinfo Aaos

Adolescent Hip Dysplasia Orthoinfo Aaos

Is Hip Dysplasia In My Newborn Something To Worry About

Is Hip Dysplasia In My Newborn Something To Worry About

Legg Calve Perthes Disease Symptoms And Causes Mayo Clinic

Legg Calve Perthes Disease Symptoms And Causes Mayo Clinic

Perthes Disease St Louis Mo Anterior Total Hip Replacement Washington University Hospital Perthes Disease Missourijohn C Clohisy Md

Perthes Disease St Louis Mo Anterior Total Hip Replacement Washington University Hospital Perthes Disease Missourijohn C Clohisy Md

Figure 2 From Inter And Intra Observer Variability Of The Crowe And Hartofilakidis Classification Systems For Congenital Hip Disease In Adults Semantic Scholar

Figure 2 From Inter And Intra Observer Variability Of The Crowe And Hartofilakidis Classification Systems For Congenital Hip Disease In Adults Semantic Scholar

Perthes Disease Physio Works

Perthes Disease Physio Works

Lessons Learned From Study Of Congenital Hip Disease In Adults

Lessons Learned From Study Of Congenital Hip Disease In Adults

Hip Dysplasia In Adolescents Boston Children S Hospital

Hip Dysplasia In Adolescents Boston Children S Hospital

Hip Pain And Hip Disorders Types Symptoms And Causes

Hip Pain And Hip Disorders Types Symptoms And Causes

A C The Three Main Types Of Congenital Hip Disease In Adults Are A Download Scientific Diagram

A C The Three Main Types Of Congenital Hip Disease In Adults Are A Download Scientific Diagram

Perthes Disease In Children Adult Pictures Treatment Symptoms

Perthes Disease In Children Adult Pictures Treatment Symptoms

Perthes Disease Legg Calve Perthes Orthoinfo Aaos

Perthes Disease Legg Calve Perthes Orthoinfo Aaos

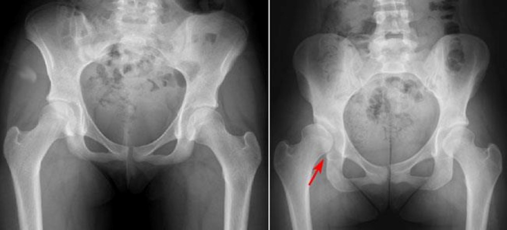
Acetabular Dysplasia Radiology Reference Article Radiopaedia Org

Acetabular Dysplasia Radiology Reference Article Radiopaedia Org

X Ray Of Hip Dysplasia Wikipedia

X Ray Of Hip Dysplasia Wikipedia

British Journal Of Sports Medicine Bjsm How To Classify Define And Diagnose Hip Disease In Young And Middle Aged Active Adults With Hip Related Pain As The Main Symptom Does This Help

British Journal Of Sports Medicine Bjsm How To Classify Define And Diagnose Hip Disease In Young And Middle Aged Active Adults With Hip Related Pain As The Main Symptom Does This Help

A C The Three Main Types Of Congenital Hip Disease In Adults Are A Download Scientific Diagram

A C The Three Main Types Of Congenital Hip Disease In Adults Are A Download Scientific Diagram

Hip Dysplasia Information Symptoms Diagnosis Treatment

Hip Dysplasia Information Symptoms Diagnosis Treatment

Hip Dysplasia Canine Wikipedia

Hip Dysplasia Canine Wikipedia

Perthes Disease In Children Adult Pictures Treatment Symptoms

Perthes Disease In Children Adult Pictures Treatment Symptoms

1

1

Understanding the classi cation of CHD in dysplasia low dislocation and high dislocation and being informed of the natural history of each type is crucial for the manage-ment of the disease for which in recent years total hip replacement THR has been the main approach.

Congenital hip disease in adults. Osteoarthritis of the hip is a disease which wears away the cartilage between the femoral head and the. We describe three distinct types of congenital hip disease in adults. Thats the report from Italian orthopedic surgeons on 32 hip replacements. Unlike osteoarthritis which is a wear and tear phenomenon rheumatoid arthritis is a chronic. Understanding the classi cation of CHD in dysplasia low dislocation and high dislocation and being informed of the natural history of each type is crucial for the manage-ment of the disease for which in recent years total hip replacement THR has been the main approach. Thats the report from Italian orthopedic surgeons on 32 hip replacements. Classical hinged abduction is well known and is thought to be responsible for secondary lateral. This disease is called developmental dysplasia of the hip joint DDH and dysplasia here refers to a disorder in the natural growth and development of the hip joint.


Congenital hip disease in adults. Hip replacement in adults who had Perthes disease as a child is technically challenging and difficult but entirely possible and with good results. Congenital hip disease CHD is the main cause of secondary osteoarthritis OA of the hip in young adults which accounts for almost 40 of all cases of hip OA. Thats the report from Italian orthopedic surgeons on 32 hip replacements. Hip deformity in symptomatic adult Perthes disease Only a limited number of patients that suffered from Legg-Calvé-Perthes disease LCPD develop pain in early adulthood. Idiopathic when the underlying cause cannot be determined and secondary when a. Diseases of the Hip Osteoarthritis.

Posting Komentar untuk "Hip Disease In Adults"